
Root Canal Treatment
Save Your Natural Tooth with Root Canal Treatment
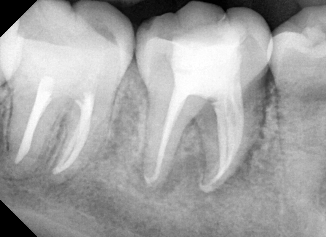
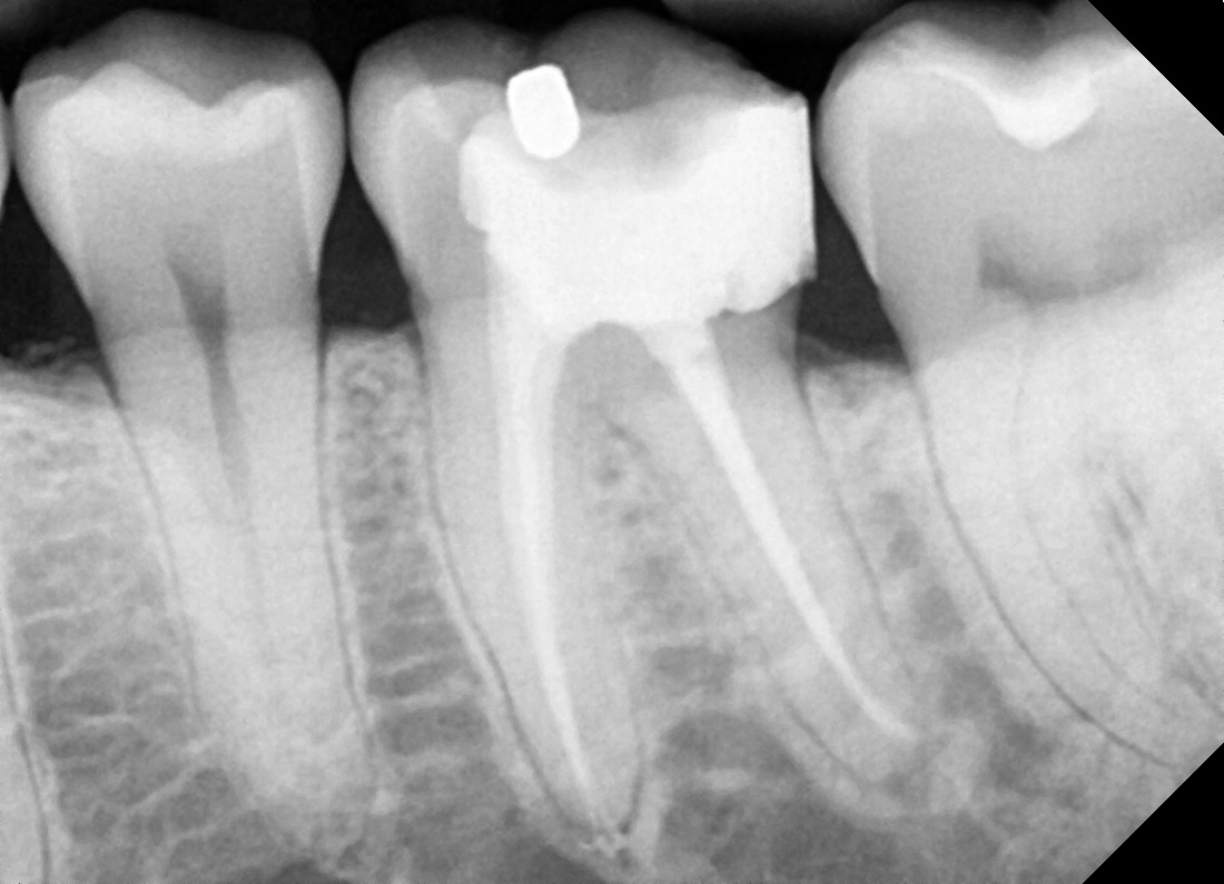
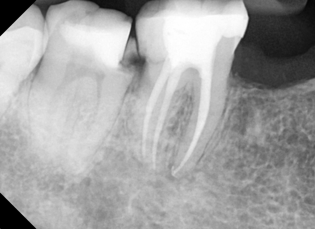
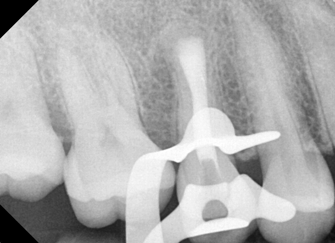
Root canal treatment is a vital procedure designed to save a severely infected or damaged tooth instead of extracting it. When the pulp inside your tooth (containing nerves and blood vessels) becomes inflamed or infected, it can cause severe pain and discomfort. During a root canal, the infected pulp is carefully removed, the inside of the tooth is cleaned and disinfected, and then filled and sealed. This precise root canal procedure allows you to retain your natural tooth, preventing further complications. At True Dental Co, we focus on precise, pain-free root canal treatment to ensure your comfort and preserve your tooth.